Dr. Philippe Massoc L.
Residente Servicio de Diagnóstico Prenatal y Medicina Fetal del Prof. Y. Ville, Centre Hospitalier Intercommunal Poissy-St Germain en Laye, Paris-Francia.
Departamento de Exploración Fetal, Servicio de Ginecología y Obstetricia, Hospital Guillermo. Grant Benavente, Concepción-Chile.

Abstract
The ultrasound is the exam of first intention in the diagnosis of sacrococcygeal teratoma, the one that can be carried out from ends of the first trimester allowing the detection of complication signs in turn and to outline a fetal presage of evolution. It presents diagnostic difficulties in the forms of late appearance in the third trimester, in that cases a magnetic nuclear resonance (MRI) should be made. You should always look for other associated malformations and signs of cardiovascular decompensation. Doppler allows to study the tumoral irrigation and to outline next to the characteristic tumoral pronostic.
Keys words : Sacrococcygeal teratoma, Caudal tumor

Resumen
El ultrasonido es el examen de primera línea en el diagnóstico de teratoma sacrococcígeo, el que se puede realizar desde fines del primer trimestre, permitiendo a su vez la detección de signos de complicación y de plantear un pronóstico de evolución fetal. Presenta dificultades diagnósticas en las formas de aparición tardía en el tercer trimestre, por lo que se aconseja complementar con una resonancia magnética. Se debe siempre buscar otras malformaciones asociadas y signos de descompensación cardiovascular. El Doppler permite estudiar la vascularización tumoral y plantear, junto a las características tumorales, un pronóstico.
Palabras claves: Teratoma sacrococcígeo, Tumor caudal.

 
Corte sagital. Tumor heterogéneo tipo I, de ecogenicidad mixta. Estómago (E), columna vertebral (CV) e intestino (I). El sacro debe ser desproyectado para estudiar su probable compromiso.
 
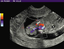
Doppler color. Estudio de la vascularización tumoral.
Massoc P. Diagnóstico prenatal y pronóstico ultrasonográfico de teratoma sacrococcígeo. Rev Chil Ultrasonog 2002; 5: 51 - 55.
Volver al sumario, volumen 5, número 2

E-Mail: ultrasonografia@netline.cl